Root Canal Treatment

Root Canal Treatment

Root canal treatment, also known as Endodontics, is provided at Morden Dentist by Dr Mo Shibl, who is a registered specialist in Endodontics and has a Masters Level training in Endodontics.

Root Canal Referrals – we are an endodontic referral practice for areas in Merton and Sutton, which means we offer more complex root canal treatment for difficult cases.

When is root canal treatment needed?

When is root canal treatment needed?

  • The crown of the tooth consists of a hard, white, enamel layer and a thicker dentine layer. Both hard layers protect the innermost soft tissues of the tooth called the pulp. The dental pulp contains blood vessels and nerves within and extends from the crown to the tips of the root or roots.
  • Root canal treatment involves the removal of the pulp tissues from the tooth in the event of infection or inflammation. Pulp can become infected or inflamed due to deep decay or an extensive restoration that involves the pulp, a cracked or fractured tooth due to trauma, excessive wear of enamel and dentine exposing the pulp, or as a result of severe gum disease.
  • Signs of pulp damage may include pain, prolonged sensitivity to heat or cold, discolouration of the tooth, swelling, tenderness of the overlying gums or a bad taste in the mouth. On occasions there are no obvious signs of pulp damage. If pulp inflammation or infection is left untreated, it can eventually cause pain, swelling and loss of the supporting bone.

Meet our Specialist in Endodontics

Dr Mo Shibl
Specialist in Endodontics

Dr Mohammed Shibl

Dr Shibl is a GDC registered Specialist Endodontist. He works with a Dental Microscope for better results in root canal treatment and offers both local anesthesia or IV Sedation for nervous patients.


Root Canal Cases by Dr Mo Shibl

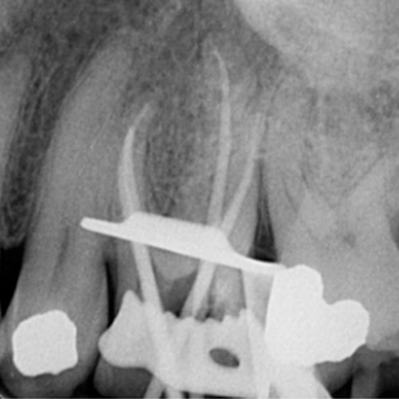
Case 1. Re-RCT of LL6

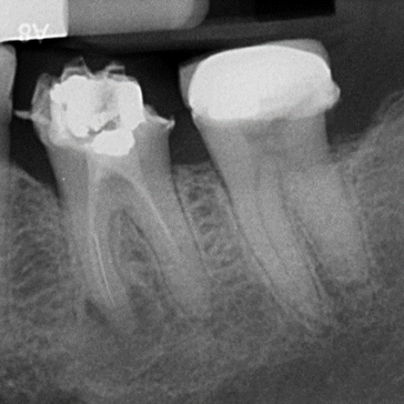
Case 2. RCT of UL6

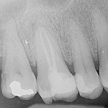
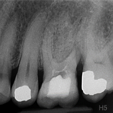
Case 3. Re-RCT of UR6

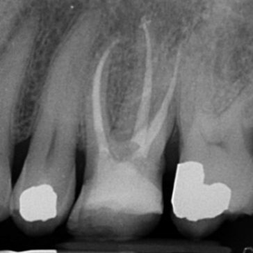
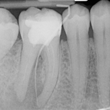
Case 4. Re-RCT of LR6

Root Canal Treatment FAQs

What are the advantages of root canal treatment?

Root canal treatment saves teeth that would otherwise have been extracted. After root canal treatment the tooth is pulp-less so has no vital tissues within. However, there are vital tissues surrounding the root e.g. the gum, periodontal membrane and supporting bone. A root canal treated tooth can function normally and can be maintained with routine dental care and a oral hygiene regime.

Why is it preferable to see a dentist with special experience in endodontics?

Our dentists with a special interest in endodontics have extra training and a lot of experience in root canal treatments. They use the latest gold standard equipment including a special microscope which lets them see a lot more detail when performing the treatment. At Morden Dentist we accept referrals from other dentists for complex root canal procedures and many local dentists recommend us.  

Is root canal treatment painful?

Root canal treatment procedures are relatively comfortable and often painless as the tooth is anesthetized during treatment. After treatment, the tooth may be sensitive or tender for a few days due to inflammation of the surrounding tissues. This discomfort can be relieved by taking mild analgesics or painkillers available over the counter at the chemist. However, if the pain persists and is severe, or a swelling occurs, you should contact us.

What is the alternative to root canal treatment?

The alternative is to have the tooth extracted. Once the pulp is destroyed it can’t heal and it is not recommended to leave an infected tooth in the mouth.

Contact us today to make an appointment or to make an enquiry about our services.